Υπηρεσίες
Παρακάτω μπορείτε να δείτε τις υπηρεσίες που προσφέρουμε στο ιατρικό κέντρο με μία σύντομη περιγραφή. Πατήστε πάνω σε κάθε εικονίδιο για να δείτε αναλυτικά τις υπηρεσίες μας
"ΕΜΠΕΙΡΙΑ - ΑΞΙΟΠΙΣΤΙΑ
ΑΠΟΤΕΛΕΣΜΑΤΙΚΟΤΗΤΑ "
ΑΠΟΤΕΛΕΣΜΑΤΙΚΟΤΗΤΑ "
Νέα
Νέα άρθρα, παρουσία σε συνέδρια
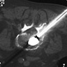
Θεραπεία της ασβεστοποιού τενοντίτιδος του ώμου (Barbotage)
Τεχνική:
Κάτω από τον έλεγχο των υπερήχων η της αξονικής τομογραφίας εντοπίζεται η ε
Επεμβατική ακτινολογία
Τι είναι επεμβατική ακτινολογία
Είναι μία υποειδικότητα της ακτινολογίας που χρησιμοποιεί
Θεραπεία της ασβεστοποιού τενοντίτιδος του ώμου (Barbotage)
Τεχνική:
Κάτω από τον έλεγχο των υπερήχων η της αξονικής τομογραφίας εντοπίζεται η επασβέστωσ

